
[폴동물병원의 알쓸반잡] 고양이 혈변, 단순 장염일까요? IBD일 수도 있습니다.

요즘 아이가 화장실을 다녀온 후, 모래에 빨간 자국이 비치진 않으셨나요? 배변 습관이 일정했던 고양이가 갑자기 변을 자주 보거나, 피섞인 변을 본다면 당황스러울 수밖에 없습니다.
많은 보호자님들이 "그냥 장염 아니에요?" 라고 물어보시지만, 실제로는 단순 장염이 아닌 "IBD(면역매개성 장염) 일 수 있습니다.
오늘은 '고양이 혈변'의 다양한 원인 중 특히 IBD에 주의해야 하는 이유를 중심으로 안내드리겠습니다.
▲고양이 혈변, 왜 생기는 걸까요?
고양이의 혈변은 생각보다 다양한 원인에서 발생합니다.
크게 나누면 다음과 같습니다.
일시적인 장염 : 급격한 사료 변경, 스트레스, 바이러스 감염, 췌장염 등
기생충 감염 : 특히 어린 고양이에서 흔하게 나타납니다.
항문샘 염증 또는 항문 주변 상처
IBD : 만성적인 장내 염증으로 설사와 혈변, 구토를 반복합니다.
장내 종양 : 림프종 등 일부 종양도 혈변의 원인이 될 수 있습니다.
폴 동물병원에서도 혈변으로 내원하시는 고양이 보호자님의 30%이상이 단순 장염이 아닌 IBD나 기저질환을 진단받고 있습니다.


▲IBD란? 염증성 장질환
IBD는 Inflammatory Bowel disease'의 약자로, 장 점막에 만성적인 염증이 생기는 질환입니다. 특징은 명확한 감염원 없이도 지속적이거나 반복적인 설사, 구토, 혈변이 나타난다는 점입니다.
미국 수의학협회(AVMA)에 따르면 IBD는 중년 이상의 고양이에서 흔히 진단되며, 유전적 요인이나 면역이상, 음식 알레르기 등이 원인으로 작용할 수 있다고 설명합니다.


▲IBD, 이런 증상이 보이면 의심해보세요
다음과 같은 증상이 2주 이상 지속된다면 IBD 가능성을 의심해볼 수 있습니다.
•잦은 설사 또는 혈변
•식욕 부진 혹은 체중 감소
•토하는 횟수가 늘어남
•평소보다 무기력하거나 숨어지내려 함
이중 2가지 이상에 해당된다면, 단순한 장 트러블이 아닐 수 있습니다. 폴 동물병원에서도 IBD는 만성 소화기 증상 중 자주 진단되는 질환입니다.


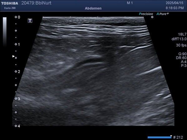
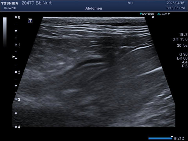
IBD는 증상만으로 확진이 어렵기 때문에, 분변검사, 혈액검사, 복부초음파, 필요시 내시경 조직검사 까지 단계적으로 진행합니다.
폴 동물병원에서는 상태에 따라 단계적으로 검사를 진행하며, 무리한 검사보다 아이의 컨디션에 맞춘 진단을 우선합니다.
▲치료는 어떻게 진행될까요?
IBD치료는 단기 증상 완화보다는 장기적인 관리와 재발 방지가 중요합니다.
• 식이 조절: 알레르기 가능성 낮은 단일 단백질 사료, 처방식 사용
• 면역억제제 또는 스테로이드: 장 염증 조절 목적
• 프로바이오틱스, 장 점막 보호제 병행
반드시 수의사 지시에 따라 진행해야 하며, 약물 치료 중단 시 재발 위험이 있습니다. 폴 동물병원에서는 보호자님과 충분한 상담을 통해, 아이에게 가장 적합한 치료법을 제안드리고 있습니다.


▲고양이의 혈변, 작은 신호를 놓치지 마세요.












회원 댓글 0건